
Researchers have found a dependable marker for germinal centre activity – the chemokine CXCL13. Germinal centres are the main site for antibody affinity maturation. This maturation may be crucial in eliciting good responses in vaccines such as ones for HIV. There was no way of measuring germinal centre activity in humans which posed a great challenge in understanding and following immune responses pre- and post-vaccination.
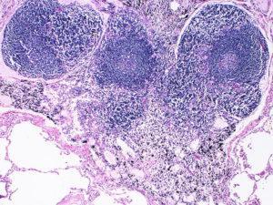
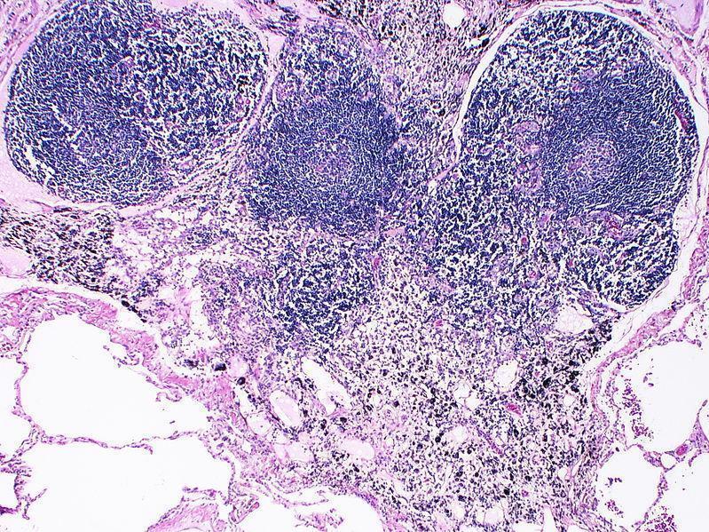
Germinal centres are sites in lymph nodes where antigen-specific B cells mature, gaining further affinity to the antigen they are targeting. Affinity maturation is required for antibodies against HIV to gain breadth and effective antibodies to influenza also have high mutation levels.
Currently, most researchers analyze antibodies in serum to determine vaccine-generated antibody responses. However, this method of analysis is limiting as neutralizing antibody titres are measured after a long time period after the initial immunization. This is because measurable responses can only be obtained after a series of vaccine boosts.
Analyzing early immune responses may be important in understanding the immune response to a vaccine and improve on current vaccination protocols. Therefore, researchers, led by Shane Crotty, looked at chemokines to see whether they could be used as markers for germinal centre activity.
Chemokine (C-X-C motif) ligand 13 (CXCL13) plays a role in organizing germinal centres. CXCR5 is the receptor for CXCL13. CXCL13 is produced on follicular dendritic cells as well as T follicular helper cells found in germinal centres. CXCL13 can be detected in plasma and plasma levels of this cytokine have been shown to be associated with immune activity. The scientists focused on CXCL13 for germinal centre activity because germinal T follicular helper cells produce this cytokine and have been implicated in the regulation of the magnitude of germinal centre responses. The researchers studied whether plasma levels of CXCL13 correlated with germinal centre activity in lymphoid tissue.
The researchers took plasma samples from HIV-infected individuals and found that CXCL13 levels were associated with the development of broadly neutralizing antibody responses. The scientists observed an association between plasma CXCL13 and germinal centre T follicular helper cells in humans which further suggests that this chemokine could be used as a biomarker.
Looking at a mouse model, the plasma CXCL13 was strongly associated with germinal centre activity in mice after immunization with ovalbumin in aluminium hydroxide adjuvant. Plasma CXCL13 levels also increased after infection with LCMV and vaccinia viruses. The same association between CXCL13 and germinal centre activity was also observed in macaques after protein immunization and in humans after influenza, yellow fever and trial HIV vaccination.
Altogether, these data reveal that CXCL13 has great potential in being a marker for germinal centre activity. Having a marker for germinal centre activity is important since broadly neutralizing antibodies which develop in the germinal centres are of interest in vaccine design. A better understanding of germinal centre activity after immunization may aid in vaccine design.
Journal article: Havenar-Daughton et al., 2016. CXCL13 is a plasma biomarker of germinal center activity. PNAS
Article by Thandeka Moyo