Can a Chimpanzee vector vaccine prevent SARS-CoV-2 pneumonia?

Disclaimer: This is a summary of an article that is in a preprint and has not been peer reviewed.

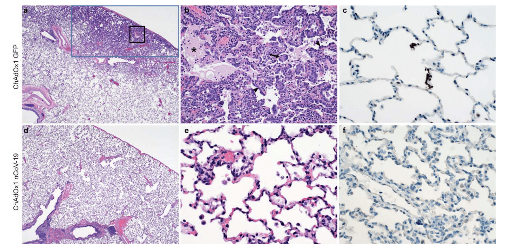
Histological changes in lungs of rhesus macaques on 7 days post infection. a) Focal interstitial 138 pneumonia in lungs of a control animal (blue box). The area in the black box is magnified in 139 panel b. b) Interstitial pneumonia with edema (asterisk), type II pneumocyte hyperplasia 140 (arrowhead) and syncytial cells (arrow) in control animals. c) SARS-CoV-2 antigen (visible as 141 red-brown staining) was detected by immunohistochemistry in type I and type II pneumocytes in 142 the lungs of control animals. d) No histological changes were observed in the lungs of ChadOx1 143 nCoV-19-vaccinated animals. e) Higher magnification of lung tissue in panel d. No evidence of 144 pneumonia or immune-enhanced inflammation is observed. f) No SARS-CoV-2 antigen was 145 detected by immunohistochemistry in the lungs of vaccinated animals. Magnification: panels a, d 146 40x; panels b, c, e, f 400x.(Source van Doremalen et al., 2020)
Histological changes in lungs of rhesus macaques on 7 days post infection. a) Focal interstitial pneumonia in lungs of a control animal (blue box). The area in the black box is magnified in panel b. b) Interstitial pneumonia with edema (asterisk), type II pneumocyte hyperplasia (arrowhead) and syncytial cells (arrow) in control animals. c) SARS-CoV-2 antigen (visible as red-brown staining) was detected by immunohistochemistry in type I and type II pneumocytes in the lungs of control animals. d) No histological changes were observed in the lungs of ChadOx1 nCoV-19-vaccinated animals. e) Higher magnification of lung tissue in panel d. No evidence of pneumonia or immune-enhanced inflammation is observed. f) No SARS-CoV-2 antigen was detected by immunohistochemistry in the lungs of vaccinated animals. Magnification: panels a, d 40x; panels b, c, e, f 400x.(Source van Doremalen et al., 2020)

In a pre-peer reviewed bioRxiv manuscript, authors show that the adenovirus-vectored vaccine ChAdOx1 nCoV-19, encoding the spike protein of SARS-CoV-2, is immunogenic in mice, showing a robust humoral and cell-mediated response. This was recapitulated with a single immunization of ChAdOx1 nCoV-19 in rhesus macaques, inducing both humoral and cellular immune response. There was significantly reduced viral load in bronchoalveolar lavage fluid and respiratory tract tissue of vaccinated animals challenged with SARS-CoV-2 compared with control animals, and no pneumonia was observed in the vaccinated monkeys. Importantly, there was no evidence of immune-enhanced disease following viral challenge in vaccinated animals. The authors state that: “Safety, immunogenicity and efficacy against symptomatic PCR-positive COVID-19 disease will now be assessed in randomised controlled human clinical trials.”

Journal Article: van Doremalen et al., ChAdOx1 nCoV-19 vaccination prevents SARS-CoV-2 pneumonia in rhesus macaques. BioRxiv

Article by Clive Gray