Intestinal helminth co-infection promotes control against lung migrating parasites

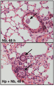
Figure 1d: Representative H&E stained sections of lung from 48 h post Nb infection. Cross-sections of larvae are indicated with an arrow. Filbey et al., 2018
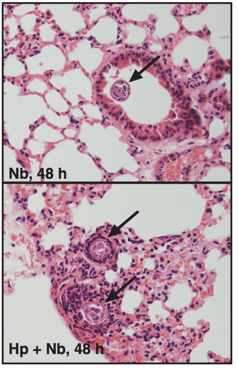
Figure 1d: Representative H&E stained sections of lung from 48 h post Nb infection. Cross-sections of larvae are indicated with an arrow. Filbey et al., 2018

Helminth co-infection has ben shown to have a negative effect on immune-mediated control of bacterial and viral infection. However, some studies have shown that helminth co-infection may have beneficial outcome against other helminth infections. Filbey et al.,  aimed to determine how chronic Heligmosomoides polygyrus (Hp) gastrointestinal infection can influence systemic and localised immunity against other helminth infections. Researchers utilised Nippostrongylus brasiliensis (Nb)  as the other helminth infection, as Nb infection is acute, beginning with entry through skin followed by a larvael stage in the lung then a mature (adult) gastrointestinal stage to allow expulsion of the parasite. Thus researchers, were able to interrogate  both local and systemic Hp cross-protection.

Using B and T cell deficient mice, and monoclonal depletion of either antibodies (IgG) or T cells, researchers showed that Hp-mediated cross-protection against Nb requires T cells. This protection was attributed to secretion of IL-5 by CD4 T cells. IL-5 is the major differentiation, maturation and accumulation factor of eosinophils.  Filbey et al., demonstrated  increased eosinophil recruitment to the lungs of Hp-Nb coinfected mice, which was also associated with successful cross-protection against Nb. Interestingly IL-5 secretion by CD4 T cells was only induced in the presence of active Nb infection, thus researchers aimed to determine the mechanistic induction of IL-5 in Hp-Nb co-infected mice.

Studies have shown that the alarmin IL-33 is rapidly produced after Nb infection. IL-33 is important for induction of type 2 immune responses, and has also been shown to induce IL-5 expression in the lung. Using both in vivo and in vitro experiments, researchers showed that Hp-Nb co-infection results in significantly higher IL-33 induction than both Hp and Nb only infections. IL-33 directly via its receptor ST2 results in significant induction of IL-5, which provides protection against Nb during co-infection. This finding was further confirmed to occur in an antigen-independent manner, where in vitro recombinant IL-33 treatment CD4 T cells, also resulted in lower Nb burden when transferred to naïve mice. Finally researchers showed that the cross-protection is not limited to Hp, but can also be conferred by other gastrointestinal helminths such as  T. muris.

In conclusion, this elegant study demonstrated the chronic gastrointestinal infection with Hp (or T.muris) confers a cross-mucosal systemic protection against Nb infection. By limiting the dissemination of Nb from the lung to the the gastrointestinal tract. This protection was mediated by IL-33 activation of CD4 T cells to produce IL-5 which in turn mediated eosinophil-dependent larvae killing.

Journal Article: Filbey et al., 2018. Intestinal helminth infection promotes IL-5- and CD4+ T cell-dependent immunity in the lung against migrating parasites. Mucosal Immunology

 

Article by Cheleka AM Mpande