As health officials brace for a challenging respiratory illness season, marked by the resurgence of influenza and the ongoing threat of COVID-19, they are urging the public to receive flu shots and reformulated COVID boosters. However, protection against respiratory syncytial virus (RSV)-related lung disease is currently unavailable. Addressing this gap, a recent study has shed light on the crucial role of human T cells in controlling RSV infection, opening new avenues for vaccine development.
RSV is a highly contagious respiratory virus that typically causes mild cold symptoms in healthy adults. However, in infants, the immunocompromised, and older individuals, it can lead to severe lung infections.
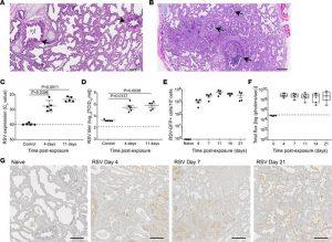
Previous vaccine efforts against RSV have primarily focused on generating an antibody response. However, utilizing innovative precision animal models of RSV infection, researchers have gained fresh insights into how the human immune system, particularly T cells, can effectively control and eliminate RSV (Figure 1). The study demonstrated that T cells can independently combat RSV infection in human lung tissue, even in the absence of RSV-specific antibodies. While a vaccine-induced RSV-specific T cell response may not prevent infection, it can accelerate viral clearance and mitigate disease severity when antibody-based protection fails due to antigenic variability among circulating strains.

Developing an effective and safe RSV vaccine is a top priority. However, the incomplete understanding of how the human immune response combats RSV infection has posed a significant obstacle. This study’s findings provide a promising pathway for future vaccine development by highlighting the pivotal role of T cells in controlling RSV and the potential for enhancing immune responses against the virus.
Journal article: De, C., et al., 2023. Human T cells efficiently control RSV infection. JCI Insight.
Summary by Stefan Botha