Paratuberculosis is an infectious disease caused by a mycobacteria that affects ruminants worldwide. The control of this disease is challenging, due to the limitations of the available diagnostic methods to detect subclinical infection and the impossibility of vaccinating animals with existing vaccines, which generate interference with the main tools for the control of tuberculosis in cattle. Infection occurs mainly at an early age and through the oral route, by consumption of infected or contaminated colostrum/milk.

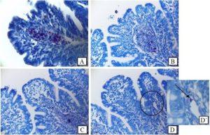
In this work it is hypothesized that the invasion of MAP at the portal entry in the presence of specific antibodies can affect the course of infection (Figure 1). To corroborate this hypothesis a model of calves ileal loops was used, with surgical inoculation of MAP, in the presence of antibodies from clinically infected or healthy cattle. Considering previous results of the group in which beneficial effects of antibodies directed against LAM and p34, antigens exposed on the surface of MAP, were detected, treatment with antibodies from cattle immunized with these antigens were also included. The bacterial presence in the tissue, after 3.5 hs of infection, was evaluated by microscopy – Ziehl Nielsen staining and by culture. The type and degree of tissue lesion produced by the infection in the different treatments was also analyzed.
As a result, the significant reduction in the amount of bacteria recoverable from the tissue when the infection was performed in the presence of antibodies from infected cows, with respect to the other treatments, stands out. This result would suggest that the presence of high levels of specific antibodies in milk/colostrum could have a protective role of calves against paratuberculosis. The treatment that had the clearest effects on the level of bacterial invasion and associated lesions was that of antibodies originated from natural infection. It would be important to deepen this research, to further explore for antigens associated with the induction of active antibodies.
Potential correlations between findings in this ileal loop model and the biological role of specific antibodies during in vivo infection must be made cautiously. Nevertheless, these findings should be taken into account in the development of new immunoprophylactic strategies to improve the control of this disease in cattle.
Jolly A., et al., 2022. Antibodies from healthy or paratuberculosis infected cows have different effects on Mycobacterium avium subspecies paratuberculosis invasion in a calf ileal loop model. Veterinary Immunology and Immunopathology.
Summary by Giselle Ingratta