- Protracted or chronic bacterial infections are often caused by organisms that have an intracellular phase; this requires that they are adept at the penetration, evasion, and exploitation of the host immune response.
- The classic example of a chronic bacterial infection is seen with Mycobacterium tuberculosis, the causative organism of tuberculosis.
- These bacteria invade the host and set up a long-standing relationship by killing some cells and chronically infecting others, eliciting an unstable détente with host immunity that is typically detected only indirectly by demonstration of an antigen specific tuberculin skin test (TST) in response to antigens derived from the M tuberculosis, known as purified protein derivative.
- Figure 1 is a schematic representation of three outcomes of the interaction of a mycobacterium and a macrophage, illustrating either killing of the organism by the macrophage (Figure 1A), killing of the macrophage by the organism (Figure 1B), or survival of both the organism and the cell as seen in chronic infection (Figure 1C).

- This third interaction between the host and the tubercle bacillus is thought to be the basis for latent tuberculosis infection (LTBI) which establishes an armistice between the host and the bacterium which can be broken as seen by reactivation of the active infection at a later point in life when the balance is tipped in favor of the bacterium
Latent tuberculosis (Latent TB) or Latent Tuberculosis Infection (LTBI)
- Latent tuberculosis is a clinical condition in which a patient is chronically infected with Mycobacterium tuberculosis, but does not show manifestations of active disease.
- It is believed (but not proven in the human) that the condition develops from an interaction between the tubercle bacillus and a macrophage shown in panel C of Figure 1
- Here, a tenuous armistice is established between the host and parasite which can be broken in later life in the form of reactivation of the tuberculosis infection.
- This can occur by any of a number of clinical conditions which suppress the host immune response, e.g. intercurrent viral infection, malnutrition, immunosuppressive therapy, aging or the use of anti-TNF-α agents.
- Patients with latent tuberculosis are not thought to be infectious, and it is not likely to contract TB from someone with latent tuberculosis.
- Since the main risk is that approximately 10% of these patients will go on to develop active tuberculosis at a later stage of their life, the identification and treatment of people with latent TB is an important part of controlling this disease.
- The recent development of highly specific assays which measure the release of interferon-γ from blood lymphocytes following in vitro stimulation with specific peptides of the M tuberculosis, i.e., the interferon gamma release assays (IGRAS) have not only been useful in identifying patients with LTBI but also in more accurately differentiating infections caused by M tuberculosis from those caused by other mycobacteria or following BCG vaccination which can be misdiagnosed by the less specific TST.
- Figure 2 are two types of mechanisms of bacterial clearance by phagocytes that are related to the virulence of an invading intracellular chronic disease producing bacterium such as the tubercle bacillus.
- The bacilli are not readily phagocytosed by opsonin-dependent uptake by neutrophils, but because of their intracellular location within macrophages, T cell-mediated immune mechanisms that enhance phagocytosis and intracellular killing by macrophages are of crucial importance.

The T cell-Macrophage Interaction
- Two major T cell-macrophage axes have been described:
- 1) the IL-12/IFN-γ;
- 2) the IL-23/IL-17 pathways.
- Shown in Figure 3 is a schematic representation of the IL-12/IFN-γ axis.
- As can be seen there are many T cell-macrophage interactive cytokine pathways involved in chronic bacterial microbicidal activity.
- Deficiencies in any of these cytokine pathways have been described which contribute to increased mycobacterial disease susceptibility.
- Disruptions of the IL-12/IFN-γ pathway such as mutations of the interferon-γ (IFNγ) receptor, IL-12 receptor b1 (IL-12Rb1), and IL-12 p40 genes have been recognized.
- These mutations are associated with heightened susceptibility to disease caused by intracellular pathogens including nontuberculous mycobacteria, vaccine-associated Bacille Calmette Guerin (BCG) and Salmonella species.

- Shown in Figure 4 is a photograph of an infant with complete IFN-γR1 deficiency vaccinated with BCG who developed dissemination of the BGC (i.e., BCGosis) as a result of this deficiency.

- The second T cell-macrophage axis important for maintenance of normal bacterial clearance is the IL-23/IL-17 pathway shown in Figure 5
- This pathway is particularly important at mucosal surfaces.
- IL-23 exerts its effects by activation of Th17 cells.
- The subsequent production of cytokines by these cells has opposing beneficial and detrimental effects; the production of IL-22 and IL-17 leads to the generation of antimicrobial peptides by epithelial cells while IL-17 can also increase granulocyte production and influx, promoting inflammation.
- The IL-23/17 axis appears to not only play an important protective role in antibacterial and antifungal immunity but also is an important regulator of immune responsiveness in various inflammatory diseases, e.g., Crohn’s disease, arthritis and allergic airway inflammatory disease.

Granuloma formation
- The T cell-macrophage balance is further maintained by the creation of a structure referred to as a granuloma.
- The term “granuloma” is derived from the anatomical “granular” appearance of the lesions on gross examination and is a structure consisting mainly of epithelioid macrophages and other inflammatory and immune cells.
- The granuloma represents an abortive attempt of the host to wall off a foreign substance, which can neither be killed nor completely eliminated.
- The formation of a granuloma is highly dependent on proinflammatory cytokines e.g., TNF-α and IFN-γ (Figure 6).

- However, when the T cell-macrophage balance of the granuloma is disturbed by immune suppression, illness, malnutrition, or old age, organisms emerge and enter a replicative stage, resulting in reactivation of chronic infection, e.g., reactivation tuberculosis.
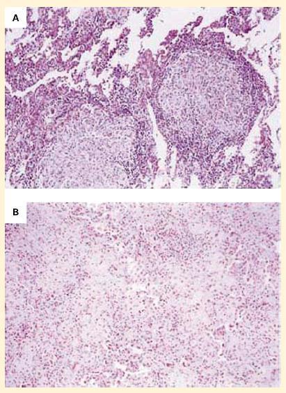
- A specialized form of immunosuppression has recently been recognized with the current availability and usage of biologic immunomodulators such as anti-cytokine preparations
- The increasing use of anti-TNF-α preparations, for example, for the treatment of rheumatoid arthritis and other inflammatory conditions has unfortunately led to reactivation of chronic infections such as tuberculosis and fungal infections (Figure 7).

Quiz
Related Talks
Henry Mwandumba, Wellcome Trust – TB Immunity in the Lung
Tom Scriba, South African Tuberculosis Vaccine Initiative – TB Immunity
Sara Suliman, South African Tuberculosis Vaccine Initiative – TB Biomarkers